Las lentes rígidas esclerales representan la vanguardia en el cuidado de la visión, especialmente diseñadas para aquellos que enfrentan desafíos corneales. A diferencia de las lentes de contacto blandas convencionales, este tipo de lentes proporcionan una alternativa revolucionaria, ofreciendo beneficios que transformarán tu experiencia visual.
Las lentes rígidas esclerales están liderando el camino hacia una claridad visual excepcional y comodidad sin igual, superando a las lentes de contacto blandas convencionales. Si te preguntas qué hace que estas lentes sean tan especiales, ¡sigue leyendo!
La Revolución en Cuidado Ocular
Las lentes rígidas esclerales no solo corrigen la visión, sino que también ofrecen una solución integral para quienes experimentan alteraciones corneales. A diferencia de las lentes de contacto blandas, que descansan directamente sobre la córnea, las lentes esclerales se apoyan en la esclerótica, la parte blanca del ojo. Este diseño innovador proporciona una serie de beneficios significativos:
- Personalización precisa. Cada par de lentes rígidas esclerales se adapta a la forma única de tus ojos. Esta personalización asegura una corrección precisa y una agudeza visual optimizada, incluso en casos de queratocono u otras irregularidades corneales.
- Comodidad duradera. Gracias a su diseño avanzado, estas lentes ofrecen una comodidad excepcional. Al evitar el contacto directo con la córnea, eliminan la irritación y la molestia, proporcionando una experiencia sin igual durante todo el día.
- Nitidez visual mejorada. Las lentes rígidas esclerales minimizan las aberraciones visuales, brindando una visión más clara y estable. Este beneficio es especialmente valioso para aquellos que luchan con astigmatismo irregular u otras condiciones que afectan la forma de la córnea.
- Mayor oxigenación ocular. La esclerótica permite una mayor oxigenación ocular en comparación con las lentes de contacto blandas. Esto reduce la sequedad y la fatiga visual, ofreciendo un alivio esencial, especialmente para aquellos con ojo seco severo.
- Versatilidad para diversas condiciones oculares. Desde queratocono hasta astigmatismo irregular, las lentes rígidas esclerales son una solución versátil para diversas alteraciones corneales. Su adaptabilidad las convierte en una opción ideal para aquellos con necesidades visuales específicas.


Encuentra tu claridad visual
Descubre el mundo de posibilidades que nuestras lentes rígidas esclerales tienen para ofrecer. En Óptica Elsa, nuestro equipo de expertos en cuidado ocular está listo para guiarte en el proceso de selección y adaptación para asegurar que obtengas la máxima comodidad y claridad visual.
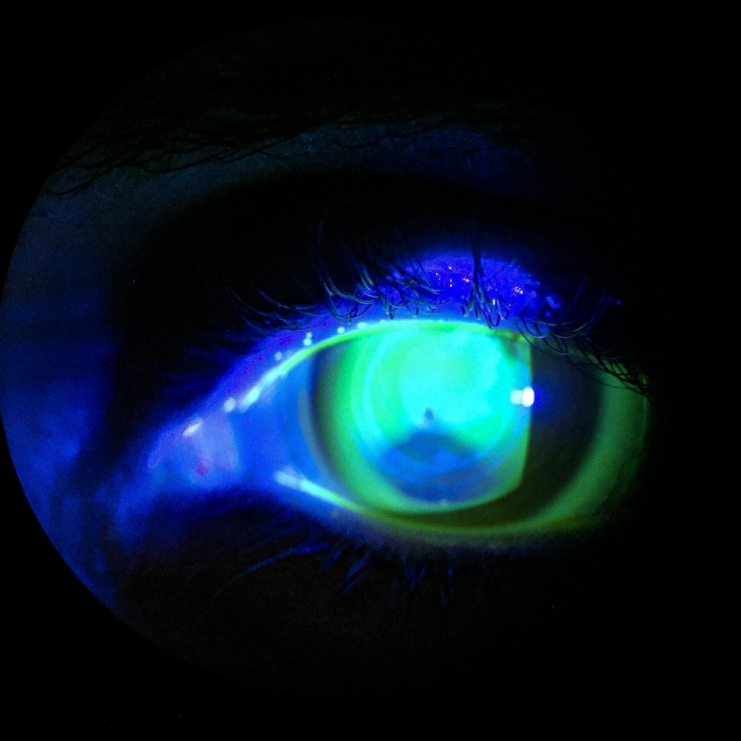
Evidencia real: nuestro caso clínico
Presentamos un caso que nos apareció en la óptica los últimos meses.
Mujer joven, de mediana edad, y con un amplio historial médico de intervenciones oculares. Tanto en ojo derecho como izquierdo apareció una clínica relativa a un queratocono corneal. Se le intervino con trasplante corneal en OD y anillos intraestromales en OI, los cuales se tuvieron que recolocar varias veces para más tarde practicar un cross-linking. Estas intervenciones supusieron 20 años de la vida de nuestra paciente.
Como consecuencia, su córnea padecía una deformidad severa, que provocaba un defecto refractivo importante y comprometía gravemente su visión, así como su calidad de vida.

Para abordar su condición, se le han adaptado en ambos ojos una pareja de lentes esclerales RPG (rígidas permeables al gas). Estas lentes, diseñadas para cubrir la córnea y descansar en la esclera, proporcionan una superficie de contacto más estable, mejorando la visión y reduciendo las molestias. El proceso de adaptación a las lentes esclerales tomó algunas semanas, durante las cuales realizamos ajustes meticulosos para garantizar un ajuste perfecto y la máxima comodidad. A medida que se adaptaba, notamos mejoras notables en su agudeza visual y una reducción significativa de las molestias oculares.
Después de varios meses utilizando las lentes esclerales, su agudeza visual mejoró a niveles que no había experimentado en años, lo que tuvo un impacto positivo en su vida diaria, especialmente en su trabajo y actividades recreativas.
Este caso subraya la importancia de abordar de manera personalizada las condiciones oftalmológicas, especialmente aquellas que afectan la forma de la córnea. Las lentes esclerales pueden ser una opción efectiva para mejorar la visión y la calidad de vida en pacientes con queratocono avanzado.
Experimenta la revolución en el cuidado de la visión con nuestras lentes rígidas esclerales. ¡Agenda tu cita hoy y da el primer paso hacia una visión extraordinaria!